Асрорходжаев Саидмурод
Должность
Врач-стоматолог
Специальность
Ортопед-терапевт
Ученая степень
Магистр
Стаж
6 лет
Высококвалифицированный терапевт, ортопед с 6-летним стажем.
Образование
Ташкентский Государственный Стоматологический Институт 2014-2019г.
2019 - 2021 магистратура на кафедре хирургической стоматологий.
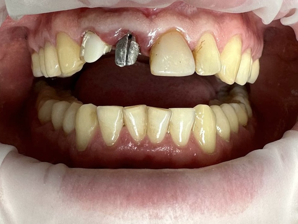
Работы
-
-
Отбеливание
Отбеливание
-
